Delineation for Radiotherapy Planning

 

CT Pelvis

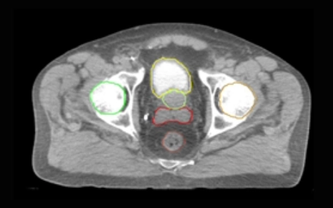
This standalone module in delineation/contouring is suitable for all radiation therapy professionals working in localisation, planning or image guided radiation therapy (IGRT). The aim of this module is to equip you with the skills to accurately delineate organs at risk and target volumes for radiation therapy treatment planning and enhance your skills in interpretation of anatomy for IGRT. This module is designed to develop your knowledge and skills in delineation and promote best practice in this area. Following completion of this module, you will be equipped to work in the area of OAR and target delineation for prostate and head and neck radiation therapy. It is aimed at enhancing autonomy, responsibility and clinical accountability. 


This module allows you to undertake a flexible yet structured programme of education delivered completely online with no requirement to attend Trinity College Dublin.


Key facts

Award: Certificate of Attendance (10ECTS*)
Course Code: RT6014: Delineation for radiotherapy planning
Duration: 7 weeks
Next Intake: September Annually
Closing date for applications: August Annually
Location: Online
(*European Credit Transfer System)

Course Fees

Module Tuition fees: EU and Non-EU €700 (payment method at the end of this page)

How to apply

To apply send an email stating the name of the module you wish to apply for and brief CV to PGRADRT@tcd.ie

Learning Outcomes

At the end of the module you will be able to:
‒Describe the natural history of prostate and head and neck cancers and their relevance to delineation for radiotherapy.
‒Describe appropriate methods of immobilisation and positioning for prostate and head and neck cancers.
‒Competently outline the target volumes (in prostate patients only) and organs at risk in accordance with RT departmental protocols for prostate and head and neck cancers.
‒Critique departmental protocols for contouring in these sites with reference to the published literature.
‒Evaluate the impact of contouring variability on the radiotherapy process.
‒Discuss the role of image fusion and automated processes in delineation.

Course Contacts

Postgraduate Course Team can be contacted at PGRADRT@tcd.ie

Delivery

To learn more about our online learning experience, take a look at this short video  

This module allows you to undertake a flexible yet structured programme of education delivered completely online with no requirement to attend Trinity College Dublin. The module is delivered through the University’s virtual learning environment, Blackboard.
The online delivery of this programme allows you to:

  • Benefit from evidence-based learning resources
  • Assess to the University Library’s online electronic databases
  • Share experiences and ideas with fellow students using online discussions.
  • Benefit from weekly engagement with fellow learners and academics through interactive webinars

Structure

The module is structured over 7 weeks, with new material released weekly on Blackboard. After each weekly release, a ‘live’ online tutorial with fellow learners and the module coordinator is held to discuss the content and your experiences.
Blackboard also helps you access live interactive discussions with lecturers, web resources such as videos, animations, wikis and quizzes, online discussion boards to learn with other students, case studies, and other activities designed to make an engaging and fulfilling online learning experience.

Entry Requirements

  • Be working in an area of radiation therapy for the duration of the course with access to radiation therapy planning software.
  • Have a fluent command of the English language.

Documentation required to complete application

The requirements for this documentation will be provided to you upon application.

Assessment

A number of assessment methods can be used. This can take the form of continuous assignments, online participation, practical work, reflective journals, as well as standard end of module essay assignments. Full details of the module assessment will be provided upon commencement.

 

Attendee Name
Attendee Email