Skip to content
Trinity College Dublin, the University of Dublin
  • Students
  • Courses
  • Research
  • Faculties & Schools
  • Alumni
  • A-Z
  • Gaeilge

School of Linguistic, Speech and Communication Sciences

menuMenu
  • Home
  • About
  • Courses
  • Staff
  • Research
  • Contact
  • Gaeilge
  • About
  • News
    • 2026
      • A Conversation with Professor David Little
      • New Scholar in Linguistics 2026
  • Linguistics
    • Introduction
    • Handbooks
    • Phonetics and Speech Laboratory
    • ITUT Research and Resources
    • Contact
  • Department of Clinical Speech and Language Studies
    • Head of Discipline Welcome
    • General Information
    • Dysphagia Centre
      • Why Dysphagia?
      • Dysphagia Matters
      • Dysphagia Resources
    • Student Awards
    • Student Uniforms
    • TEPE
    • Dublin Conversation Partner Scheme for Aphasia
    • Contact
    • Webinar Series
    • Student Projects
  • Centre for Deaf Studies
    • Welcome
    • Lecture Series
    • Research and Resources
    • Advisory Council
      • Noel OConnel
      • Mary Quirke
      • Suzanne Carey
      • Mark McCaffrey
      • Leslee OLoughlin
    • Irish Sign Language
    • Outreach
  • Centre for English Language Learning and Teaching
    • In Sessional Programmes
    • Contact Us
    • Our Team
      • Mengdi Wang
      • Marharyta Musiienko
      • Ece Sevgi Sole
      • Agnieszka Pedrak
    • Pre Sessional Programmes
      • 10 Week Programme
      • Testimonials
      • Application Process
      • Entry Requirements
    • Programme Overview
  • Courses
  • Undergraduate
    • Clinical Speech and Language Studies
    • Deaf Studies
    • Linguistics
      • TCD Linguistics Society
      • What is Linguistics
      • Programme Structure
      • Your Degree
        • Major
        • Minor
      • FAQs
    • Computer Science, Linguistics and a Language
    • Linguistics Open Modules
    • Linguistics Language Modules
    • Visiting and Exchange Students
    • Study Abroad
  • Postgraduate
    • PhD and Masters Degrees by Research
    • Taught Courses
      • Diploma in Clinical Speech and Language Studies
      • MSc in clinical speech and language studies
      • MPhil in Applied Linguistics
      • FAQ
      • MPhil in Linguistics
      • MPhil in Speech and Language Processing
      • MPhil in English Language Teaching
    • Scholarships and Funding
  • Research
    • Welcome
    • Research Projects
      • ESTA
      • COS DIP Research
      • GestuGram
      • UN World Food Programme
      • Past Projects
      • Lo-Rig
        • People
        • Community
        • Publications
        • Events
        • Introduction
    • Research Seminars
      • Centre for Asian Studies Lunchtime Seminar and Evening Lecture Series
      • Linguistics Research Seminars
    • Ethics
      • Fast Track
    • Papers
    • Trinity Forum Formal Linguistics
  • Continuing Professional Development
  • English Language Support / EAP
  • Equality Diversity Inclusion
    • EDI Committee
      • Sarah Sheridan
      • Emily Kremers
      • Colin Flynn
      • Amy Connery
      • Carmel Grehan
    • Policies
    • Athena SWAN
    • Inclusive Curriculum
    • Contact
  • Evening Courses
  • Strategic Plan
  • Staff
    • School Staff
    • Organisation Structure
    • Linguistics
    • Centre for Deaf Studies
    • Centre for English Language Learning and Teaching
    • Clinical Speech and Language Studies
  • Contact
  • GA
  • Recruitment
    • Post Doc / Research Fellow in Computational Linguistics
  • itut
  • IRAAL
Contact Us School of Linguistic
Speech & Communication Sciences
Arts Building
Trinity College Dublin
Dublin 2
Ireland

View the contact page for more contact and location information

Email slscs@tcd.ie Gaeilge
  • Department of Clinical Speech and Language Studies
  • Dysphagia Centre
  • Dysphagia Resources
  • Atlas
mouth with Angular Cheilitis

AngularCheilitis

Fissured-Tongue

Fissured Tongue

Geographic Tongue

Geographic Tongue

Hairy-Tongue500by300

Hairy Tongue

Teeth with Gingivitis

Probable Diagnosis: Gingivitis

Median-Rhomboid-Glossitis500by300

Median Rhomboid Glossitis

Oral-Candida

Oral-Candida/Thrush

Traumatic-Ulcer

Traumatic Ulcer

Xerostomia

Xerostomia

Potentially Malignant Presentations

Erythroplakia

Erythroplakia

Homogeneous Leukoplakia

Homogeneous Leukoplakia

Non-Homogenous-Leukoplakia

Non Homogenous Leukoplakia

Oral-Lichen-Planus

Oral Lichen Planus

Oral-Warts

Oral Warts (HPV)

GingivalExtraNodularNonHodgkinLymphoma

Gingival Extra Nodular Non Hodgkin Lymphoma.

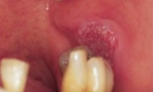
Lateral Tongue Border SCC

Lateral Tongue Border SCC

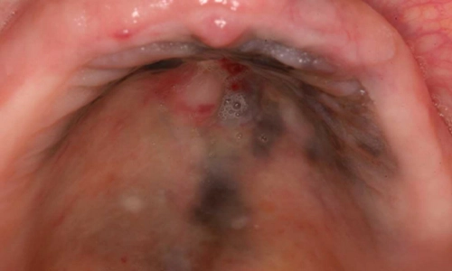
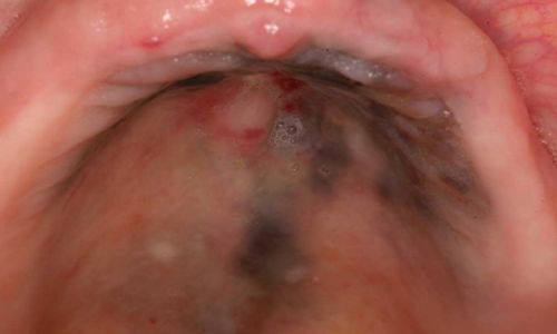
Malignant Melanoma of the Hard Palate

Malignant Melanoma of the Hard Palate

Retromolar-Trigone-SCC500by300

Retromolar Trigone SCC

Stage One Oral SCC

Stage One Oral SCC

Ventrolateral Tongue SCC

Ventrolateral Tongue SCC

  • SLSCS
  • Department of Clinical Speech and Language Studies
  • Dysphagia Centre
  • Dysphagia Resources
  • Atlas

Updated 1 October 2025

Trinity College Dublin, The University of Dublin.
College Green, Dublin 2, Ireland T: +353 1 896 1000

Trinity Associations and Charters

Athena Swan Coimbra Group Universities LERU
  • Accessibility
  • Cookie policy
  • Privacy
  • Cookies Settings
  • Disclaimer
  • Contact
  • T-Net
  •  
  • Youtube
  • Facebook
  • Twitter
  • Linkedin
  • instagram